부주상골 증후군
군대 수술 비용

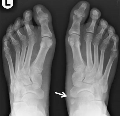
부주상골 증후군은 눈으로도 진단이 되기도 합니다. 발목 안쪽에 뼈가 튀어나와있습니다. 이 증후군은 스포츠 선수에게 많이 나타나는 발 손상입니다. 그리고 많은 분이 이 증상으로 군대를 면제받는지에 대해서 궁금해합니다.
이렇게 튀어나와 있는 뼈는 발 중간의 발등이나 아치에 위치한 작은 뼈 중 하나입니다. 나비 뼈라 불리며 여분의 뼈 중 하나이기도 합니다.
성장 과정에서 나비 뼈는 하나의 단단한 뼈로 융합되지 않고 섬유조직과 연골로 연결됩니다. 이는 정상적인 뼈가 아니며 보통 사람에게는 없는 뼈입니다. 보통 무증상이기 때문에 이 뼈의 존재 자체도 모를 수 있습니다.
만약 이 뼈로 인해 통증이 나타나면 문제가 됩니다. 나비 뼈는 돌출이 되기 때문에 쉽게 분간이 됩니다. 또한 돌출된 뼈로 인해 옷이나 다른 것에 접촉이 생기면 통증이 발생할 수도 있습니다. 이런 통증이 있는 상태를 부주상골 증후군이라고 합니다.
면역력을 개선이 필요하신 분은 아래 글을 참고하기 바랍니다.
마효능 부작용 종류
마 효능 부작용 마는 예전부터 여성 건강에 매우 좋다고 알려져 있습니다. 생김새는 고구마처럼 생겼고 영양이 풍부해 건강에 매우 좋은 채소입니다. 마의 주성분은 다량의 전분, 단백질, 비타
konews.work
1. 부주상골 증후군 증상
이 증상은 청소년기에 많이 나타납니다. 뼈가 빠르게 성장하고 연골이 발달하는 시기이기 때문입니다. 무증상이므로 성인이 돼서도 모르는 경우가 많습니다.


- 발 안쪽의 아치 바로 위 가시적 뼈 돌출
- 돌출부의 발적 및 붓기
- 발 아치 부분의 통증 및 욱신거림
2. 수술 시기
수술을 결정하기 전 비수술적 치료로 증상을 완화하지만 만약 통증이 지속된다면 수술로 보조 뼈를 제거하고 경골 뒤의 힘줄을 복구하여 기능을 개선할 수 있습니다. 해당 뼈는 제거해도 정상적인 발 기능에 전혀 관계가 없습니다.
비수술적 치료로는 프롤로 주사로 염증 부위의 재상과 증식을 막고 체외 충격파로 치료를 합니다. 수술이 결정되면 2, 3일 입원 후 수술을 진행합니다. 6주가량의 깁스를 요구하기 때문에 여름에는 추천하지 않습니다.

3. 수술 비용
미용상의 수술이 아니므로 실손보험으로 보험비 청구가 가능합니다. 병원마다 비용은 다르므로 병원에 문의하는 것이 좋습니다.
스테로이드 소염 주사로 통증을 완하 할 수 있으며 최소 몇 달 길게는 몇 년 동안 통증 없이 생활할 수 있습니다. 주사 비용은 보통 4만 원~6만 원입니다.

마지막으로 부주상골 증후군으로 군대 면제가 가능한지 혹은 공익이 가능한지 문의가 많습니다. 하지만 대부분 현역으로 간다고 생각하면 될 것 같습니다. 이상으로 부주상골 증후군 수술 주사 비용 포스팅을 마칩니다. 감사합니다.
'건강, 의약품' 카테고리의 다른 글
| 밀크씨슬 효능 부작용 (0) | 2020.11.09 |
|---|---|
| 인포벨 투스홀 미백 치약 사용 후기 (0) | 2020.11.08 |
| 오르필 서방정 부작용 주의사항 (0) | 2020.11.07 |
| 건강한 삶을 위해 피해야하는 스트레스 (0) | 2020.11.07 |
| 멘소래담 로션 효과 효능 (0) | 2020.11.06 |